Table of Contents
« prev
next »
Washington University Experience
|
NEOPLASMS (GLIAL)
|
Glioblastoma, granular cell type
|
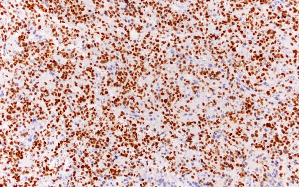
2D Glioblastoma, granular cell type (Case 2) P53 20X 2
There is strong nuclear staining for p53.
Image Info
Camera Maker:
Olympus
Camera Model:
DP74
Shutter Speed:
10/10989 sec
Metering Mode:
Multi-Spot
Gallery RSS
|
Archive View
|
Login
|
Powered by
Zenphoto