Table of Contents
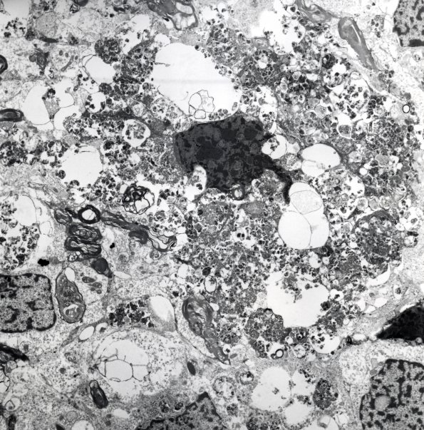
Washington University Experience | NEOPLASMS (GLIAL) | Glioblastoma, granular cell type | 2F2 GBM, granular (Case 2) EM 3 - Copy
Ultrastructural examination demonstrates the granularity of tumor cells results from the accumulation of autophagosomes (Electron micrograph)
