Table of Contents
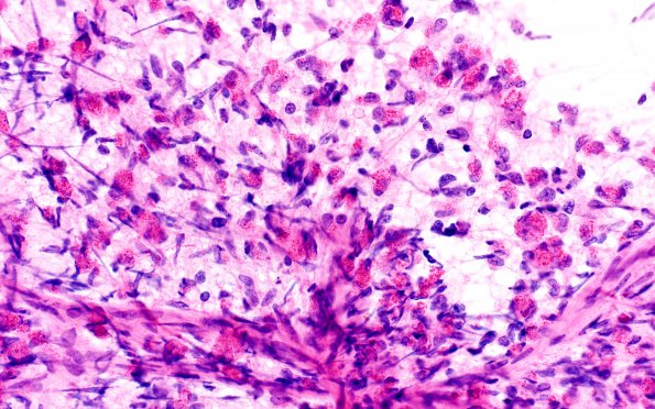
Washington University Experience | NEOPLASMS (GLIAL) | Glioblastoma, granular cell type | 3A1 Glioblastoma, granular cell type (Case 3) Sm 40X 1
Case 3 ---- The patient is a 54 year old man who presents with 5-6 day history of bifrontal sharp headaches increasing in severity when coughing and more frequently occurring in the morning. MR scan shows a large right cerebral enhancing mass suggestive of glial neoplasm. Clinical diagnosis: Cranial mass. Operative procedure: Biopsy. ---- 3A1,2 An intraoperative smear preparation shows numerous granular tumor cells. On such a preparation they may be mistaken for eosinophilic granular bodies (usually EGBs don’t have nuclei) or even macrophages in a questionable demyelinative process (H&E).
