Table of Contents
« prev
next »
Washington University Experience
|
NEOPLASMS (GLIAL)
|
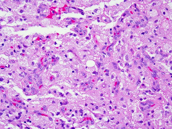
Glioblastoma, granular cell type
|
4B4 GBM, granular cell (Case 4) 6.jpg
Additional images of the neoplasm. (H&E)
Image Info
Camera Maker:
Olympus Optical Co.,ltd.
Camera Model:
DP70
Original Time Taken:
19-08-2009
Shutter Speed:
1/161 sec
ISO Sensitivity:
200
Metering Mode:
Spot
Gallery RSS
|
Archive View
|
Login
|
Powered by
Zenphoto