Table of Contents
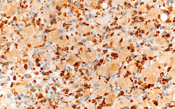
Washington University Experience | NEOPLASMS (GLIAL) | Glioblastoma, granular cell type | 4D4 GBM, granular cell (Case 4) CD68 40X
The CD68 (KP-1) stain highlights small macrophages intensely and large granular tumor cells less intensely.
