Table of Contents
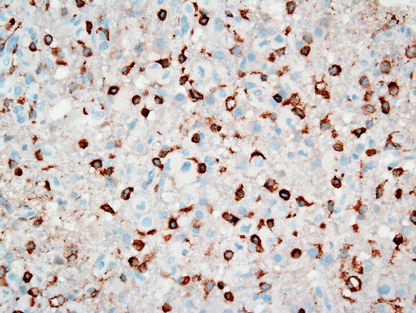
Washington University Experience | NEOPLASMS (GLIAL) | Glioblastoma, granular cell type | 4E GBM, granular cell (Case 4) CD163 2.jpg
CD163 immunostain is a histiocyte lineage-specific marker and fails to stain granular tumor cells which are astrocytic-line elements not histiocytes (CD163 IHC).
