Table of Contents
Washington University Experience | NEOPLASMS (GLIAL) | Glioblastoma, granular cell type | 4G GBM, granular cell (Case 4) Ki-67 2.jpg
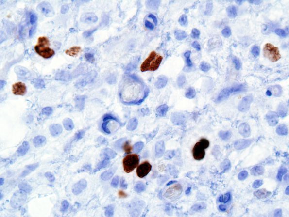
The Ki-67 (MIB-1) labeling index is relatively low, but highlights some of the large atypical appearing tumor nuclei.
