Table of Contents



Washington University Experience | NEOPLASMS (GLIAL) | Glioblastoma, granular cell type | 5A1 Glioblastoma, with Granular cells (Case 5) H&E 1

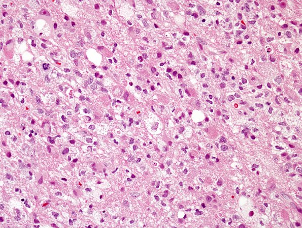
5A1 Glioblastoma, with Granular cells (Case 5) H&E 1
5A1-3 The size of granules vary significantly in this case (H&E)


Gallery RSS RSS Feed | Archive View | Login | Powered by Zenphoto