Table of Contents



Washington University Experience | NEOPLASMS (GLIAL) | Glioblastoma, granular cell type | 5A3 Glioblastoma, with Granular cells (Case 5) H&E 3

5A3 Glioblastoma, with Granular cells (Case 5) H&E 3
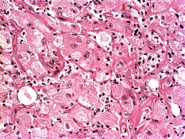
The size of granules vary significantly in this case (H&E)


Gallery RSS RSS Feed | Archive View | Login | Powered by Zenphoto