Table of Contents
« prev
next »
Washington University Experience
|
NEOPLASMS (GLIAL)
|
Glioblastoma, granular cell type
|
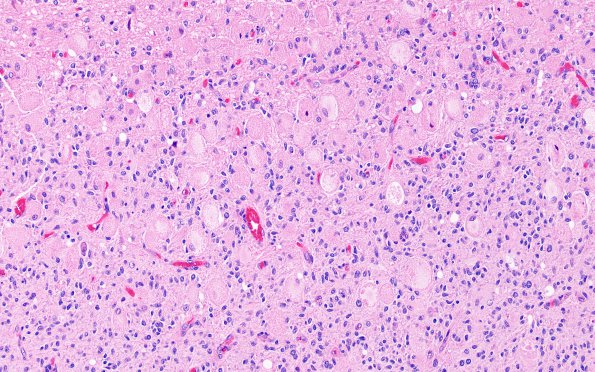
6A4 GBM, Granular Cell (Case 6) H&E 4
The population of granular cells is relatively pale compared to the other cases shown (H&E)
Image Info
Camera Maker:
Olympus
Camera Model:
DP74 #1
Shutter Speed:
7/4321 sec
Metering Mode:
Average
Gallery RSS
|
Archive View
|
Login
|
Powered by
Zenphoto