Table of Contents
« prev
next »
Washington University Experience
|
NEOPLASMS (GLIAL)
|
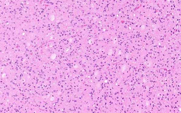
Glioblastoma, granular cell type
|
6A6 GBM, Granular Cell (Case 6) H&E 6
In some areas small tumor cells dominate granular tumor cells (H&E).
Image Info
Camera Maker:
Olympus
Camera Model:
DP74 #1
Shutter Speed:
20/10989 sec
Metering Mode:
Average
Gallery RSS
|
Archive View
|
Login
|
Powered by
Zenphoto