Table of Contents
Washington University Experience | NEOPLASMS (GLIAL) | Glioblastoma, granular cell type | 7A1 GBM (Case 7) T1 - Copy
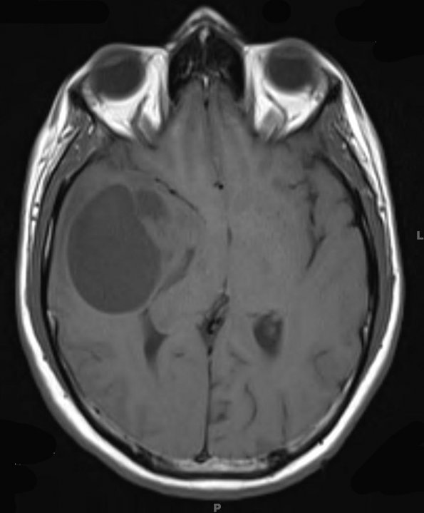
Case 7 History
The patient is a 33 year old man with a right frontotemporal brain mass/cyst and headaches. Operative procedure: Biopsy
7A1-3 MRI scans show hypointensity in T1-weighted image with patchy rim enhancement with contrast (7A2).
