Table of Contents
« prev
next »
Washington University Experience
|
NEOPLASMS (GLIAL)
|
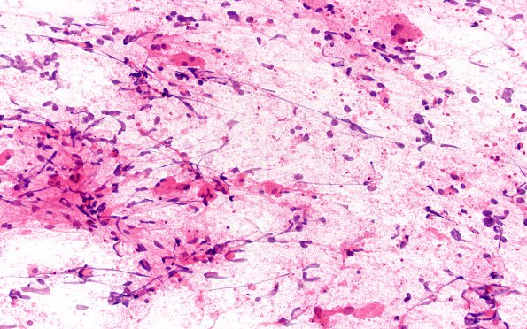
Glioblastoma, granular cell type
|
7B1 Glioblastoma, granular cell type (Case 7) TP 20X
An intraoperative smear shows numerous granular tumor cells. (H&E)
Image Info
Camera Maker:
Olympus
Camera Model:
DP74
Shutter Speed:
23/22549 sec
Metering Mode:
Multi-Spot
Gallery RSS
|
Archive View
|
Login
|
Powered by
Zenphoto