Table of Contents
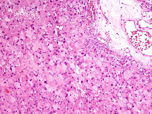
Washington University Experience | NEOPLASMS (GLIAL) | Glioblastoma, granular cell type | 7B2 GBM (Case 7) H&E 2
7B2-4 The tumor has a variety of different morphological appearances varying from epithelioid, often foamy cells, to spindle shaped cells in some areas. Frequent mitoses and extensive endothelial cell proliferation are identified.
