Table of Contents



Washington University Experience | NEOPLASMS (GLIAL) | Glioblastoma, granular cell type | 7C2 GBM (Case 7) GFAP 2

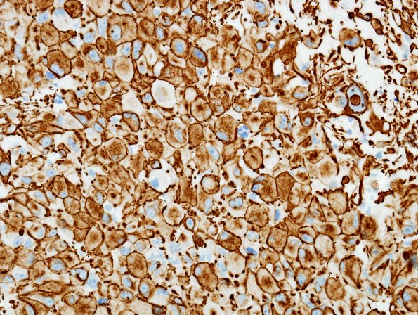
7C2 GBM (Case 7) GFAP 2
Immunohistochemical studies show tumor cells to be diffusely and strongly positive for GFAP.


Gallery RSS RSS Feed | Archive View | Login | Powered by Zenphoto