Table of Contents
« prev
next »
Washington University Experience
|
NEOPLASMS (GLIAL)
|
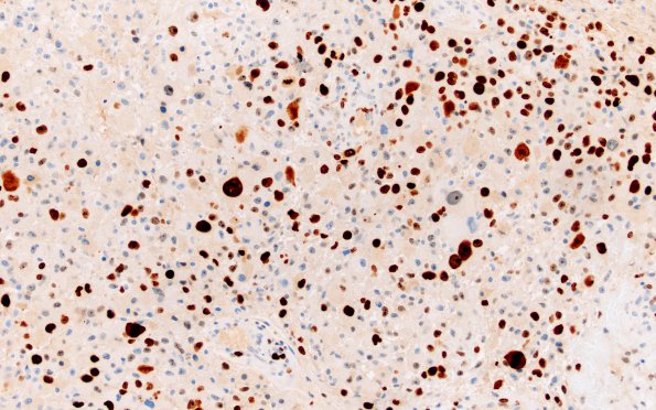
Glioblastoma, granular cell type
|
7F GBM (Case 7) Ki67 40X 1
The Ki-67 labeling index is very high.
Image Info
Camera Maker:
Olympus
Camera Model:
DP74
Shutter Speed:
11/10000 sec
Metering Mode:
Multi-Spot
Gallery RSS
|
Archive View
|
Login
|
Powered by
Zenphoto