Table of Contents



Washington University Experience | NEOPLASMS (GLIAL) | Glioblastoma, primitive neuronal component | 8C3 GBM w PNET features (Case 8) SYN 2

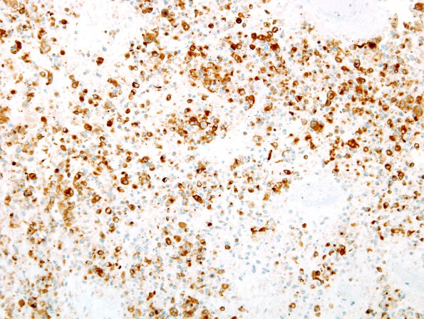
8C3 GBM w PNET features (Case 8) SYN 2
Island of PNC elements stain for synaptophysin (SYN IHC)


Gallery RSS RSS Feed | Archive View | Login | Powered by Zenphoto