Table of Contents
Washington University Experience | NEOPLASMS (GLIAL) | Glioblastoma, small cell type | 11A3 GBM, small cell features (Case 10) H&E 5.jpg
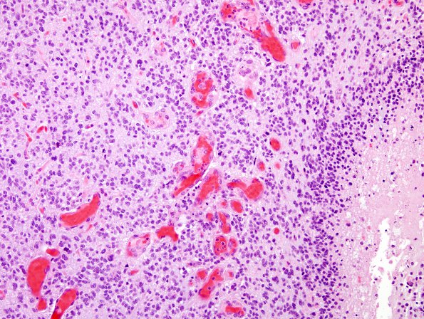
The mitotic index is brisk and there are foci of both endothelial hyperplasia and pseudopalisading necrosis. ---- FISH was performed on paraffin-embedded tissue which showed polysomies (gains) of chromosomes 1, 7, 10, and 19. There was no evidence of either gene amplifications or deletions. Therefore, this genetic pattern is non-specific. Although there was lack of EGFR gene amplification and chromosome 10q deletion, the morphologic features are nevertheless consistent with the diagnosis of small cell variant of glioblastoma.
