Table of Contents
Washington University Experience | NEOPLASMS (GLIAL) | Glioblastoma, small cell type | 13A3 GBM, small cell (Case 13) H&E 8.jpg
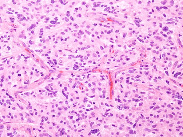
The majority of the tumor cells have an oval nuclear contour with mild hyperchromasia and occasional perinuclear clear halos. (H&E)
