Table of Contents
Washington University Experience | NEOPLASMS (GLIAL) | Glioblastoma, small cell type | 15A1 GBM, small cell (Case 15) H&E 5.jpg
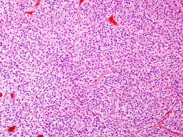
Case 15 History ---- The patient was a 46 year old male who presented with seizures. MRI revealed an enhancing right frontal lesion. The lesion was initially biopsied and diagnosed as anaplastic oligodendroglioma at an outside hospital. Subsequent increase in size that year led to resection and similar pathologic diagnosis. ---- 15A1-3 Sections sent to BJH demonstrated an infiltrative glioma with a focally microcystic background containing an abundant chicken-wire type vasculature and focal calcification. Microvascular proliferation is seen, but there is no necrosis in the limited material provided. Mitoses are numerous and on one count, numbered 19/10HPF. Tumor cells bear negligible cytoplasm and a moderate degree of nuclear pleomorphism superimposed on a generally rounded to oval morphology. (H&E)
