Table of Contents
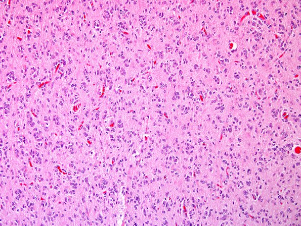
Washington University Experience | NEOPLASMS (GLIAL) | Glioblastoma, small cell type | 18B3 GBM, small cell type (Case 18) H&E 6.jpg
Cytologically, tumor cells display relative uniformity with round nuclear contour and open vesicular chromatin. The mitotic rate is quite brisk. Here the neoplastic cells satellite cortical neurons (H&E)
