Table of Contents
« prev
next »
Washington University Experience
|
NEOPLASMS (GLIAL)
|
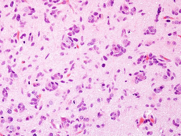
Glioblastoma, small cell type
|
21A3 GBM, small cell variant (Case 21) H&E 5.jpg
Numerous tumor cells in this area perineuronal satelliting are prominent. (H&E)
Image Info
Camera Maker:
Olympus Corporation
Camera Model:
DP70
Original Time Taken:
31-01-2013
Shutter Speed:
1/114 sec
ISO Sensitivity:
200
Metering Mode:
Spot
Gallery RSS
|
Archive View
|
Login
|
Powered by
Zenphoto