Table of Contents
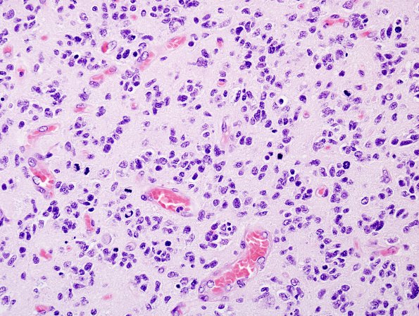
Washington University Experience | NEOPLASMS (GLIAL) | Glioblastoma, small cell type | 4A3 GBM , small cell features (Case 4) H&E 2.jpg
Higher magnification shows the cytologic features of the majority of the tumor cells (H&E). ---- In light of the histologic appearance suggestive of small cell glioblastoma, FISH probes were also employed to investigate the status of the EGFR gene (probes to EGFR, 7p12, and CEP7, the chromosome 7 centromere) and the long arm of chromosome 10 (probes to DMBT1, 10q25-26, and PTEN, 10q23.3). In this case, there was no codeletion of 1p19q; rather, there were normal dosages (i.e., two copies) of chromosome 1 with trisomy of chromosome 19. In addition to trisomy of chromosome 7, there was superimposed amplification of the EGFR gene. The added finding of 10q deletion here is in keeping with a diagnosis of small cell glioblastoma. ---- Comment: Although not pure, the overall histology and FISH results support the diagnosis of glioblastoma with focal small cell features
