Table of Contents
Washington University Experience | NEOPLASMS (GLIAL) | Glioblastoma, small cell type | 7A3 GBM, small cell features (Case 7) H&E 6.jpg
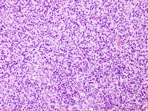
The tumor also shows a sea of foci with regular and evenly spaced neoplastic cells with enlarged ovoid round to ovoid nuclei. (H&E)
