Table of Contents
« prev
next »
Washington University Experience
|
NEOPLASMS (GLIAL)
|
Gliosarcoma
|
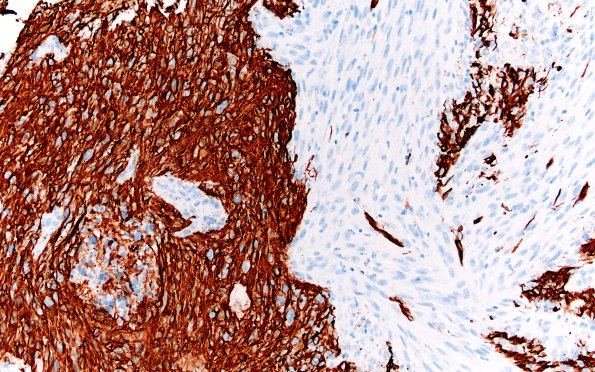
23A11 Gliosarcoma (Case 23) GFAP Area B 20X 1
GFAP stained area 23A10
Image Info
Camera Maker:
Olympus
Camera Model:
DP74
Shutter Speed:
11/10000 sec
Metering Mode:
Multi-Spot
Gallery RSS
|
Archive View
|
Login
|
Powered by
Zenphoto