Table of Contents
« prev
next »
Washington University Experience
|
NEOPLASMS (GLIAL)
|
Gliosarcoma
|
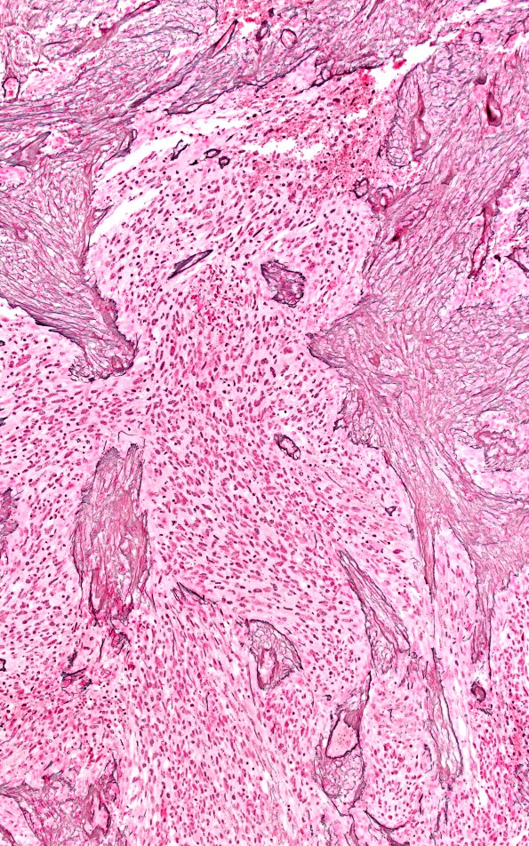
23A9 Gliosarcoma (Case 23) Retic 10X A
Reticulin stain of area 23A7.
Image Info
Camera Maker:
Olympus
Camera Model:
DP74
Shutter Speed:
41/100000 sec
Metering Mode:
Multi-Spot
Gallery RSS
|
Archive View
|
Login
|
Powered by
Zenphoto