Table of Contents
Washington University Experience | NEOPLASMS (GLIAL) | Gliosarcoma | 6A1 Gliosarcoma (Case 6) H&E 1
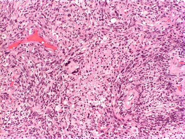
Case 6 History ---- The patient is a 56 year old man with a right frontal lobe neoplasm. ---- 6A1-3 Sections reveal a highly anaplastic-appearing neoplasm with marked nuclear pleomorphism. The cells range from spindled to epithelioid, often with extensive eosinophilic cytoplasm, vesicular chromatin and prominent nucleoli. (H&E)
