Table of Contents
Washington University Experience | NEOPLASMS (GLIAL) | High-Grade Astrocytoma with Piloid features (HGAP) | 1A1 HGAP (Case 1) FLAIRW - Copy
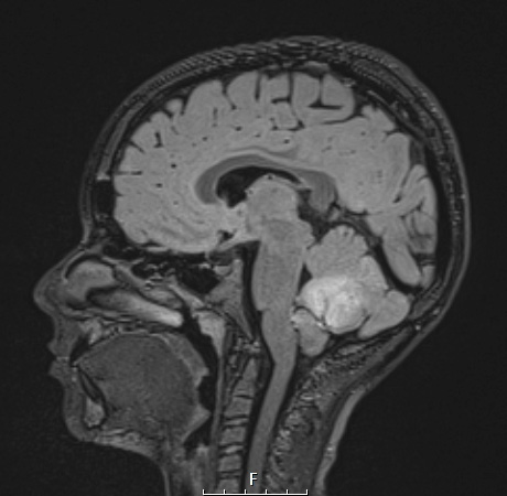
Case 1 History ---- The patient is an 11-year-old boy with a posterior fossa mass. Operative procedure: Craniotomy for tumor resection. ---- 1A1 This FLAIR MRI with applied contrast demonstrates a hyperintense mass in the posterior fossa involving the cerebellum.
