Table of Contents
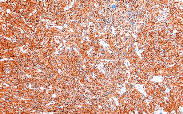
Washington University Experience | NEOPLASMS (GLIAL) | High-Grade Astrocytoma with Piloid features (HGAP) | 1C1 HGAP (Case 1) GFAP 40X 5A
1C1,2 Tumor cells were strongly GFAP immunoreactive and outlined their pilocytic appearance. (GFAP IHC)
