Table of Contents
« prev
next »
Washington University Experience
|
NEOPLASMS (GLIAL)
|
High-Grade Astrocytoma with Piloid features (HGAP)
|
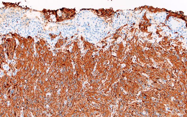
1C3 HGAP (Case 1) GFAP 20X 2
1C3,4 Proliferated vasculature stands out against the labeled tumor cells (GFAP IHC)
Image Info
Camera Maker:
Olympus
Camera Model:
DP74
Shutter Speed:
19/17757 sec
Metering Mode:
Multi-Spot
Gallery RSS
|
Archive View
|
Login
|
Powered by
Zenphoto