Table of Contents
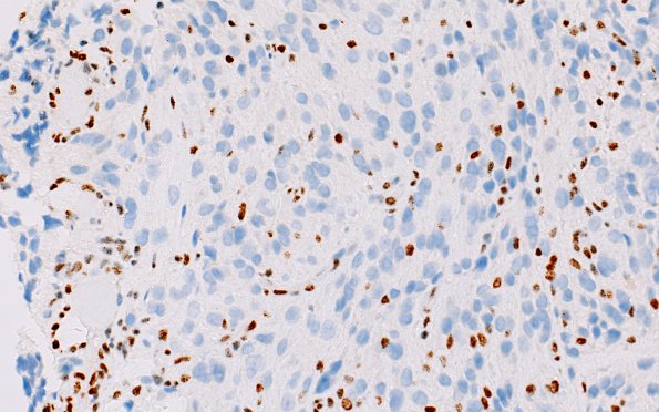
Washington University Experience | NEOPLASMS (GLIAL) | High-Grade Astrocytoma with Piloid features (HGAP) | 1E2 HGAP (Case 1) ATRX 40X 1
Higher magnification shows the marked difference in size of granule cell and tumor nuclei. (ATRX IHC)
