Table of Contents
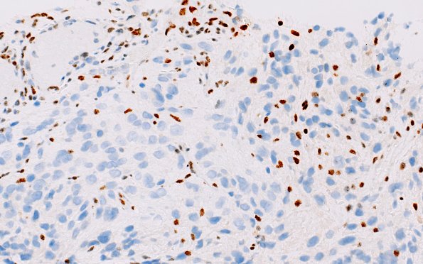
Washington University Experience | NEOPLASMS (GLIAL) | High-Grade Astrocytoma with Piloid features (HGAP) | 1E3 HGAP (Case 1) ATRX 40X 3
At the margin of the image the microvasculature thin endothelial cells stain clearly in comparison to unlabeled tumor cells. (ATRX IHC)
