Table of Contents
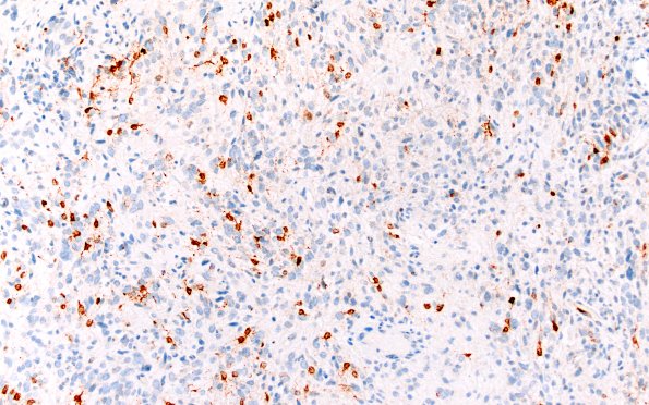
Washington University Experience | NEOPLASMS (GLIAL) | High-Grade Astrocytoma with Piloid features (HGAP) | 1G1 HGAP (Case 1) P16 20X
1G1,2 A subpopulation of tumor cells are p16 immunoreactive. P16 immunohistochemistry (IHC) is a surrogate marker for homozygous deletion of the CDKN2A/B genes. (p16 IHC)
