Table of Contents
« prev
next »
Washington University Experience
|
NEOPLASMS (GLIAL)
|
High-Grade Astrocytoma with Piloid features (HGAP)
|
1H1 HGAP (Case 1) Ki67 20X 2 copy
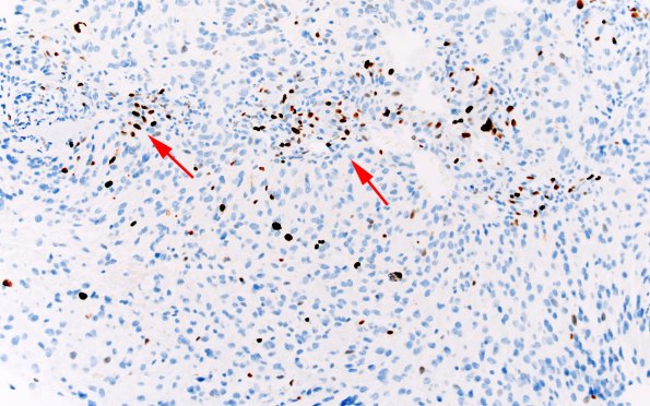
The proliferated microvasculature is often heavily labeled by Ki67.(Ki67 IHC)
Image Info
Camera Maker:
Olympus
Camera Model:
DP74
Shutter Speed:
1/1000 sec
Metering Mode:
Multi-Spot
Gallery RSS
|
Archive View
|
Login
|
Powered by
Zenphoto