Table of Contents
Washington University Experience | NEOPLASMS (GLIAL) | High-Grade Astrocytoma with Piloid features (HGAP) | 2A1 HGAP (Case 2) FLAIR - Copy
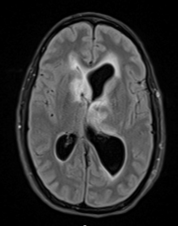
Case 2 History ---- The patient is a 37-year-old woman with a history of Neurofibromatosis type 1 and persistent left optic pathway glioma status post ventriculoperitoneal shunt placement, complicated by obstructive hydrocephalus. There is a separate enhancing area within the right caudate nucleus concerning for glioma. Operative procedure: Left frontal endoscopic septostomy, possible shunt revision with endoscopic biopsy. ---- 2A1 The lesion in the right caudate nucleus is hyperintense on a FLAIR MRI scan.
