Table of Contents



Washington University Experience | NEOPLASMS (GLIAL) | High-Grade Astrocytoma with Piloid features (HGAP) | 2A2 HGAP (Case 2) T1W - Copy

2A2 HGAP (Case 2) T1W - Copy
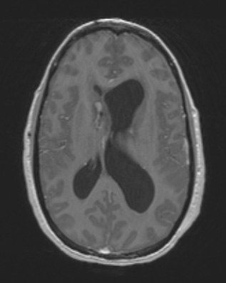
There is minimal enhancement on this T1-weighted scan with contrast.


Gallery RSS RSS Feed | Archive View | Login | Powered by Zenphoto