Table of Contents
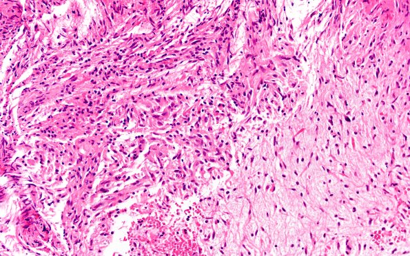
Washington University Experience | NEOPLASMS (GLIAL) | High-Grade Astrocytoma with Piloid features (HGAP) | 2B1 HGAP (Case 2) H&E 20X 1
2B1,2 Two patterns of growth are seen, one population of tumor cells is piloid and the second is composed of cells with an epithelioid appearance. There is moderate pleomorphism and inconspicuous mitotic activity. The tumor vasculature is focally prominent, but no definite microvascular proliferation is noted. Necrosis is absent.
