Table of Contents
« prev
next »
Washington University Experience
|
NEOPLASMS (GLIAL)
|
High-Grade Astrocytoma with Piloid features (HGAP)
|
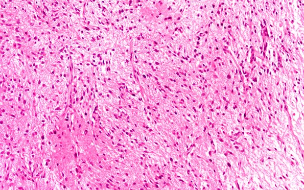
2B5 HGAP (Case 2) H&E 20X 5
Other areas are hypocellular with piloid cells H&E)
Image Info
Camera Maker:
Olympus
Camera Model:
DP74
Shutter Speed:
23/22549 sec
Metering Mode:
Multi-Spot
Gallery RSS
|
Archive View
|
Login
|
Powered by
Zenphoto