Table of Contents
« prev
next »
Washington University Experience
|
NEOPLASMS (GLIAL)
|
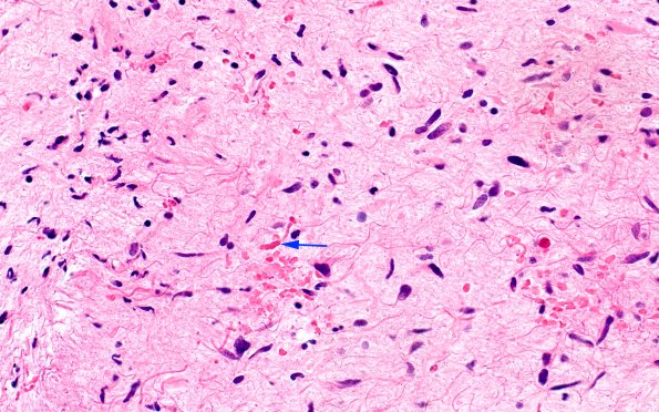
High-Grade Astrocytoma with Piloid features (HGAP)
|
2B8 HGAP (Case 2) H&E 40X 2 copy
Rosenthal fibers (arrow) were seen. (H&E)
Image Info
Camera Maker:
Olympus
Camera Model:
DP74
Shutter Speed:
4/883 sec
Metering Mode:
Multi-Spot
Gallery RSS
|
Archive View
|
Login
|
Powered by
Zenphoto