Table of Contents
« prev
next »
Washington University Experience
|
NEOPLASMS (GLIAL)
|
High-Grade Astrocytoma with Piloid features (HGAP)
|
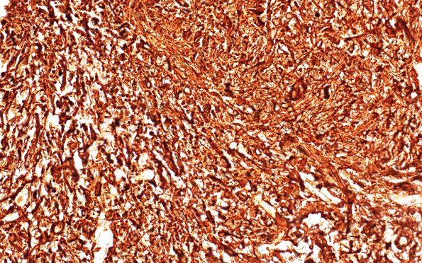
2C2 HGAP (Case 2) GFAP 20X 1
Rosenthal fibers (arrows) were seen. (H&E)
Image Info
Camera Maker:
Olympus
Camera Model:
DP74
Shutter Speed:
32/3787 sec
Metering Mode:
Multi-Spot
Gallery RSS
|
Archive View
|
Login
|
Powered by
Zenphoto