Table of Contents
« prev
next »
Washington University Experience
|
NEOPLASMS (GLIAL)
|
High-Grade Astrocytoma with Piloid features (HGAP)
|
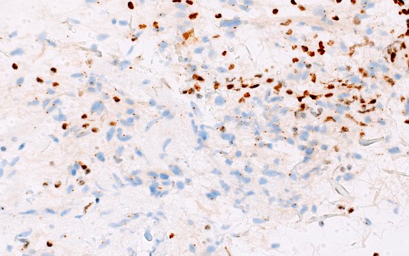
2D2 HGAP (Case 2) ATRX 40X 2
Tumor cells do not stain with ATRX; however, the background vasculature does. (ATRX IHC)
Image Info
Camera Maker:
Olympus
Camera Model:
DP74
Shutter Speed:
1/250 sec
Metering Mode:
Multi-Spot
Gallery RSS
|
Archive View
|
Login
|
Powered by
Zenphoto