Table of Contents
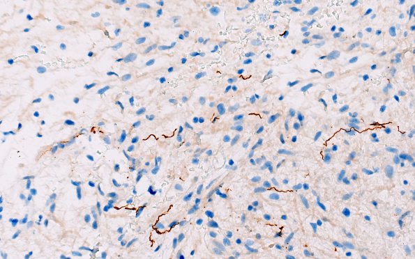
Washington University Experience | NEOPLASMS (GLIAL) | High-Grade Astrocytoma with Piloid features (HGAP) | 2F HGAP (Case 2) NF 40X
A neurofilament immunostain highlights both solid and infiltrative growth patterns. (NF IHC) ---- Not shown: Immunostain for p53 shows rare, weak reactivity (~1% of cells). Mutant BRAF (V600E) is negative. Fluorescence in situ hybridization (FISH) studies are negative for BRAF rearrangement. There is no CDKN2A homozygous loss. Molecular genetic analysis (Caris) was “quantity not sufficient”. Methylation based tumor profiling at the NIH provided an integrated diagnosis of High Grade Astrocytoma with Piloid features (HGAP).
