Table of Contents
Washington University Experience | NEOPLASMS (GLIAL) | High-Grade Astrocytoma with Piloid features (HGAP) | 3A1 HGAP (Case 3) FLAIR - Copy
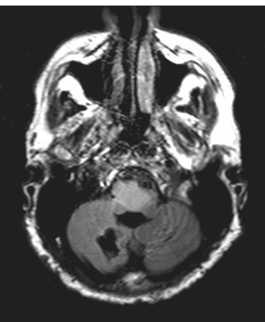
Case 3 History ---- The patient is a 46-year-old man with a clinical history of neurofibromatosis 1, epilepsy disorder, and multiple supratentorial and large pontomedullary FLAIR hyperintense masses with ring enhancing components in the right pons. Imaging is also significant for ventriculomegaly, with absence of associated symptoms. Operative procedure: Brain biopsy ---- 3A1 There is a hyperintense brainstem and cerebellar tumor as shown by this FLAIR MRI scan.
