Table of Contents



Washington University Experience | NEOPLASMS (GLIAL) | High-Grade Astrocytoma with Piloid features (HGAP) | 3A2 HGAP (Case 3) T2noC - Copy

3A2 HGAP (Case 3) T2noC - Copy
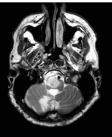
The extent of the tumor is shown on this T2-weighted no applied contrast scan.


Gallery RSS RSS Feed | Archive View | Login | Powered by Zenphoto