Table of Contents
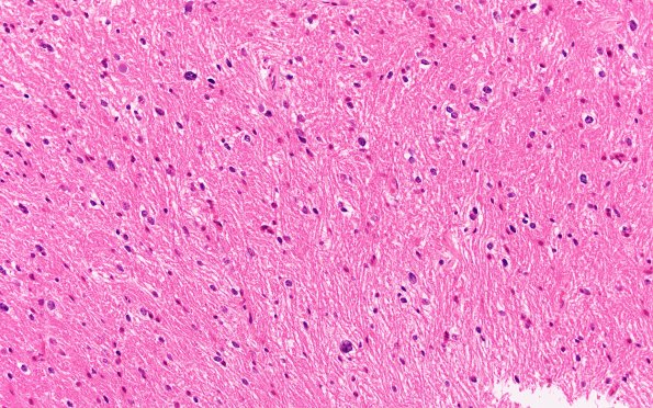
Washington University Experience | NEOPLASMS (GLIAL) | High-Grade Astrocytoma with Piloid features (HGAP) | 3B2 HGAP (Case 3) H&E 20X
The tumor appears minimally cellular in this area characterized by infiltrating scattered pleomorphic nuclei. The tumor cells have minimal discernible cytoplasm and oval to irregular atypical enlarged nuclei with dense chromatin (H&E)
