Table of Contents
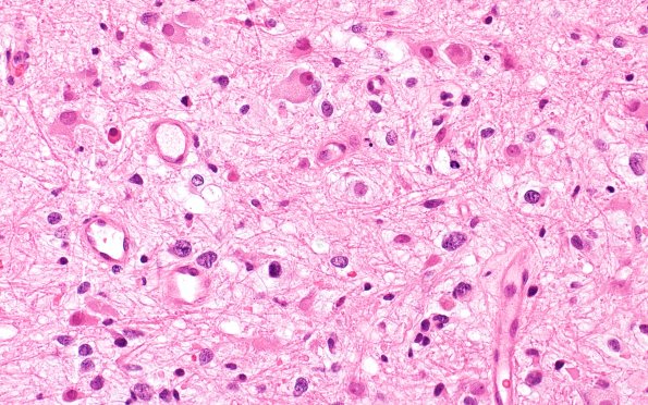
Washington University Experience | NEOPLASMS (GLIAL) | High-Grade Astrocytoma with Piloid features (HGAP) | 3B3 HGAP (Case 3) H&E 40X 2
In this case there are numerous forms with significant amounts of perinuclear cytoplasm and pilocytic processes. (H&E)
