Table of Contents
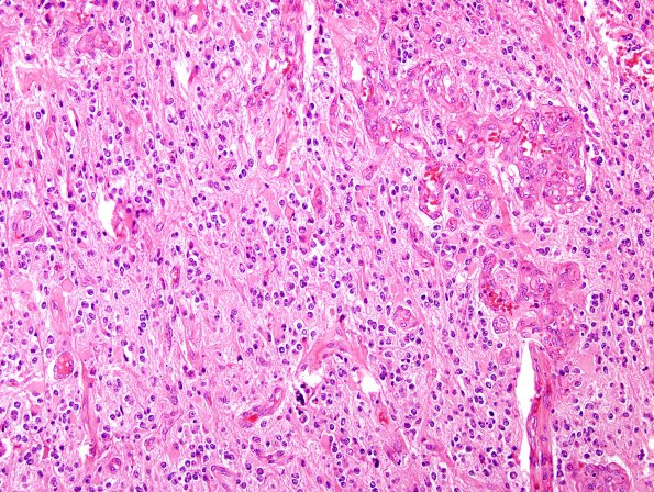
Washington University Experience | NEOPLASMS (GLIAL) | Oligodendroglioma - Histologically Defined (most del 1p19q) | 12B2 Oligodendroglioma, anaplastic (Case 12) H&E 6
Sections show a cellular tumor composed primarily of cells with round nuclei and stippled chromatin, perinuclear clearing, and mini-gemistocytes. The tumor infiltrates throughout the brain parenchyma. Multiple areas of solid tumor cells have a rich "chicken wire" vascular supply. In some areas, however, prominent vascular proliferation is noted with foci of necrosis. Mitotic activity is relatively low (1 mitosis/10 HPF).
