Table of Contents
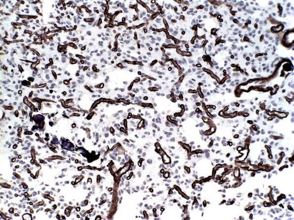
Washington University Experience | NEOPLASMS (GLIAL) | Oligodendroglioma - Histologically Defined (most del 1p19q) | 14E Oligodendroglioma, mild anaplasia (Case 14E) Coll IV
Collagen IV stain demonstrates the extent of proliferation (Coll IV)
