Table of Contents
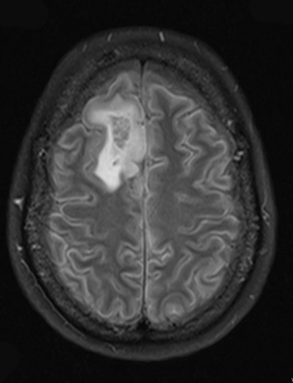
Washington University Experience | NEOPLASMS (GLIAL) | Oligodendroglioma - Histologically Defined (most del 1p19q) | 4A1 Oligodendroglioma, Grade 2, del 1p19q (Case 4) FLAIR - Copy
Case 4 History ---- The patient is a 42 year old woman who presented with a seizure. Operative procedure: Right frontal craniotomy for resection of tumor. 4A1-3 On MRI, a right frontal mass was noted. ---- 4A1 The tumor is hyperintense on FLAIR scan.
