Table of Contents
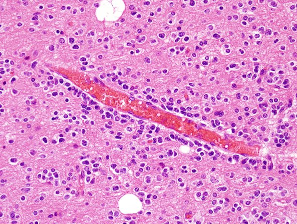
Washington University Experience | NEOPLASMS (GLIAL) | Oligodendroglioma - Histologically Defined (most del 1p19q) | 4B3 Oligodendroglioma, Grade 2, del 1p19q (Case 4) H&E 1
Tumor cells cluster adjacent to the walls of vessels, which may be referred to as "secondary structures of Scherer", although Scherer used the term in astrocytic line tumors.
